Sorry - this product is no longer available

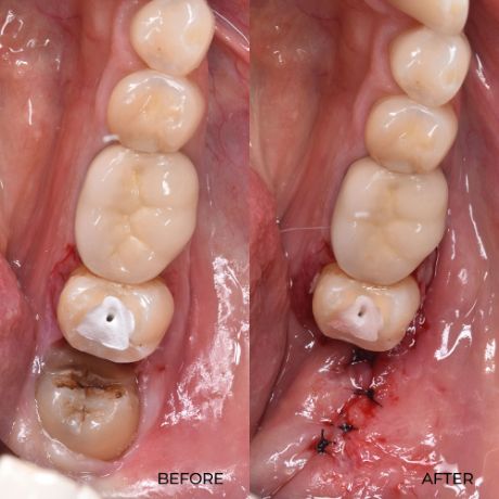
Odontectomy - Tooth Removal

P 0.00
Special Instructions:

Start your Cashback Journey Today!