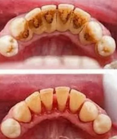
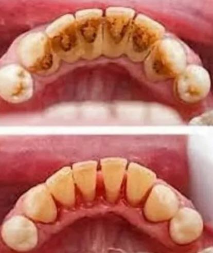
Oral Prophylaxis (Teeth Cleaning)

P 0.00
Special Instructions:

Product tags

Start your Cashback Journey Today!